‹ › ×
    • facebook
    • twitter
    • google_plus
    • linkedin
    • youtube
    • instagram

     SOCIETE IVOIRIENNE DE PATHOLOGIE

    www.sipath-ci.org

    Home
    • Abstracts
    • Registration
    • Activities
      • * Program
      • * Speakers
      • * Posters
      • * Slides seminar
      • * Available hotels and residences
    • African Divisions
    • Scientific Committee
    • Our partners
    • Contact

    SLIDES SEMINAR

    INSTRUCTIONS FOR THE UPLOADING OF MICROSCOPIC IMAGES : 

     

    In order to make your pictures viewed in good conditions, we recommend that you : 

    - Precise the clinical data,

    - Take images of good quality (500ppi minimum),

    - Take pictures at various magnifications (x4, x10 et x40),

    - Precise the staining techniques used. 

     

    You are also invited to precise the name, affiliation and E-mail address of the presenter. 

    NB : Upload your images and the above information to : sipathengci@gmail.com  

    SLIDES LIST, DAY AND  PRESENTATION TIME, AUTHORS

    DAY 1

    SADIAP

    WADIAP

    Access to the scanned slides, that will be presented by the South African registrars, is now working.

    Please use the following credentials – these must be typed in (do not copy and paste as it may not work).

    https://olympusvm.uct.ac.za/Account/Login 

    username: lung2021

    password: bronchial thermoplasty

    database: Conferences > Open the Pathred 2021 folder > Open the Registrar slide seminar folder > Click on the cases as required as detailed in the attached list.

    ------------------------------

    03 :30 – 03 :37 PM GMT / 05 :30 – 05 :37 PM Cap Town Time

    * Case 2: Dr Nelson da Costa (University of Cape Town) 

    email: nelson.dacosta@nhls.ac.za

    Clinical detail: A 14-year-old girl presented with visual problems and a squint.  She developed headaches a month later.  MRI showed a suprasellar cistern mass.

     

    03 :37 – 03 :44 PM GMT / 05 :37 – 05 :44 PM Cap Town Time

    * Case 4: Dr Cawe Cingo (University of Pretoria)

    email: cingocc@gmail.com

    Clinical detail: A 48-year-old male with a right testicular mass

     

    03 :44 – 03 :51 PM GMT / 05 :44 – 05 :51 PM Cap Town Time

    * Case 5: Dr Julandi Alwan (University of the Western Cape)

    email: julandi.alwan@nhls.ac.za

    Clinical History: 

    - A 5 year old boy presented with a progressively enlarging swelling of the right maxilla, first noticed 5 month earlier.  

    - Physical examination revealed marked facial asymmetry with a firm fullness over the right cheek, as well as intraoral swelling.

    - The lesion is non-tender and firm to palpation.

     

    03 :51 – 03 :58 PM GMT / 05 :51 – 05 :58 PM Cap Town Time

    * Case 6: Dr Sharon Harbor (Stellenbosch University)

    email: sharon.harbor@nhls.ac.za

    Clinical detail: A 19-year-old woman with a two-month history of a slow-growing mass on the hard palate.

    The mass is located on the anterior alveolar ridge surrounding the canine and the first two molars, measuring 2 x 2 cm.

     

    03 :58 – 04 :05 PM GMT / 05 :58 – 06 :05 PM Cap Town Time 

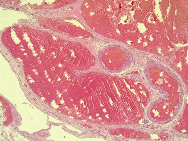
    * Case 8: Dr Melius Weideman (University of the Free State)

     email: weidemanmelius@gmail.com

    Clinical detail: 1 Day old female patient that presented to hospital with acute onset respiratory distress shortly after birth

    Passed away despite resuscitation efforts 

    Clinically the differential diagnosis included:

    - Acyanotic congenital cardiac lesion

    - Respiratory distress syndrome

    - Persistent pulmonary hypertension of the newborn

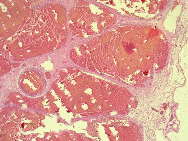
    At post-mortem a cardiac tumour involving the septum and apex was noted measuring 55x40x35mm

    Multiple small nodules involving the left ventricle wall and papillary muscles were also noted

     

    04 :05 – 04 :12 PM GMT / 06 :05 – 06 :12 PM Cap Town Time

    * Case 10: Dr Nathan McGrath (University of the Witwatersrand)

    email: nathmcg@gmail.com

    Clinical detail: A 53-year-old female, para 2 gravida 2, was referred to the gynecology department at CHBAH with seven years history of menorrhagia, dysmenorrhea, and symptomatic iron deficiency anemia.  The patient had an enlarged, irregular uterus and a transvaginal ultrasound examination showed multiple solid hypo-echoic intramural and subserosal masses, in keeping with a multifibroid uterus. Due to persistent symptoms, an elective total abdominal hysterectomy was performed.

     04 :12 – 04 :19 PM GMT / 05 :12 – 05 :19 PM Lagos Time

    *Case 1 : Dr Ibrahim Adekanbi/ Dr Harrison

    email: mamak97@yahoo.com

    Clinical detail: Male, 45years, Tongue and Oral nodules and sores

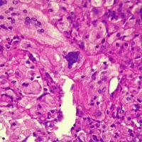
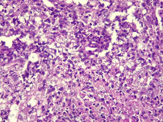
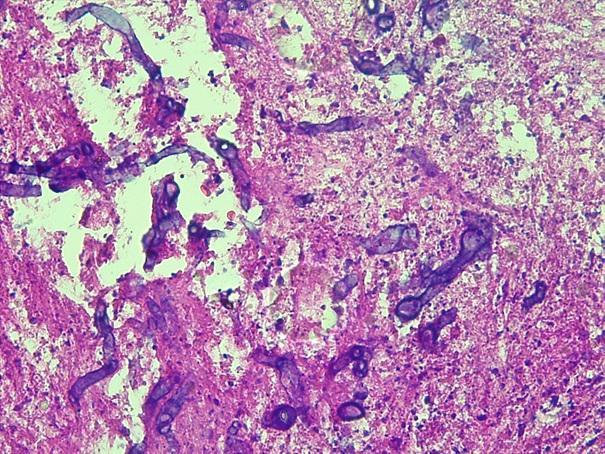
    Please, consult the virtual slides of Case 1 below.

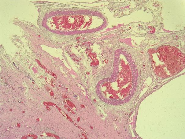
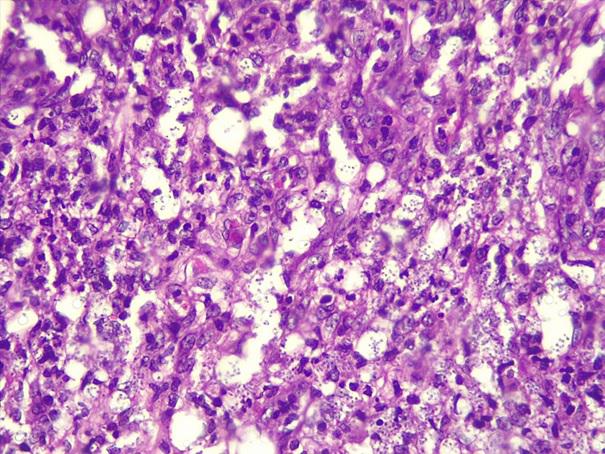
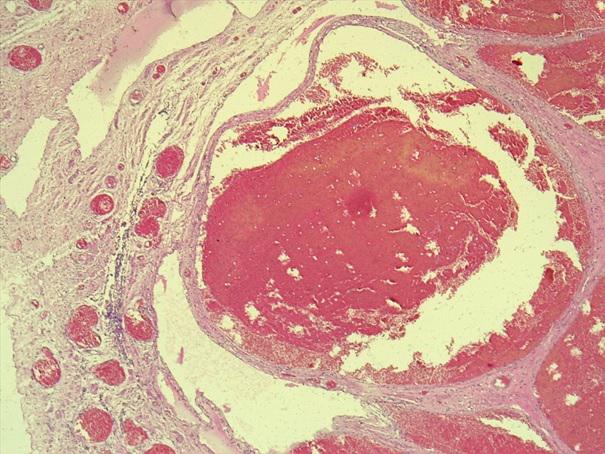
    Ca1-1
    Ca1-2
    Ca1-3
    Ca1-4
    Ca1-5

    04 :19 – 04 :26 PM GMT / 05 :19 – 05 :26 PM Lagos Time

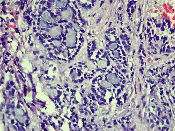
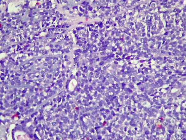
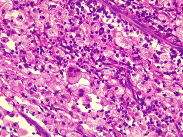
    *Case 2 : Dr Rimamskep Ifusumu/ Prof Modupeola Samaila

    email: mamak97@yahoo.com

    Clinical details: Female, 38years, Ovarian mass ?

    Please, consult the virtual slides of Case 2 below.

     

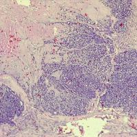
    Ca2-1
    Ca2-2
    Ca2-3
    Ca2-4
    Ca2-5
    Ca2-6
    Ca2-7
    Ca2-8
    Ca2-9
    Ca2-10

     

    04 :26 – 04 :33 PM GMT /  05 :26 – 05 :33 PM Lagos Time

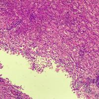
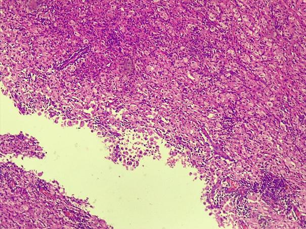
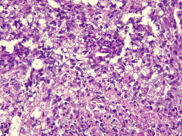
    *Case 3 : Pr Modupeola Samaila/ Dr Rimamscep Ifusumu

    email: mamak97@yahoo.com 

    Clinical detail: Female, 38 years. Orbital cystic tumour of 2 years duration.

    Clinical diagnosis is orbital tumour query mucormycosis.

    Please, consult the virtual slides of Case 3 below. 

    Ca3-1
    Ca3-2
    Ca3-3
    Ca3-4
    Ca3-5
    Ca3-6
    Ca3-7
    Ca3-8
    Ca3-9
    Ca3-10
    Ca3-11

     

    04 :33 – 04 :40 PM GMT / 05 :33 – 05 :40 PM Lagos Time

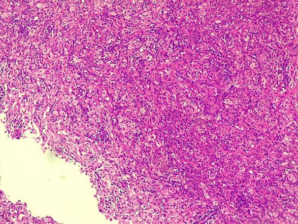
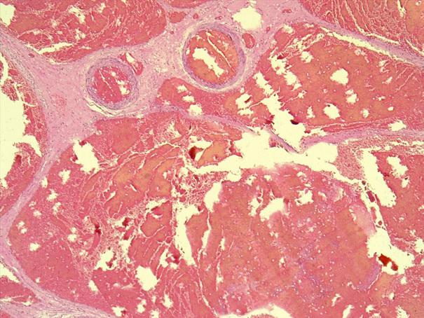
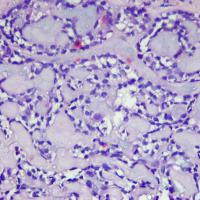
    *Case 4 : Dr Dauda Suleiman

    email: desuleiman@atbu.edu.ng 

    Clinical detail: Age: 65years

    Presenting symptoms: PV bleeding; cervical mass

    Please, consult the virtual slides of Case 4 below.

    Ca4-1
    Ca4-2
    Ca4-3
    Ca4-4
    Ca4-5
    Ca4-6
    Ca4-7
    Ca4-8
    Ca4-9
    Ca4-10

    04 :40 – 04 :47 PM GMT /  05 :40 – 05 :47 PM Lagos Time

    *Case 5 : Dr Garba Dahiru Waziri

    email: wazirdg@gmail.com 

    Clinical detail: A 45-year-old female patient who presented to our hospital with history of progressive proptosis of the right eye of 8 years duration and progressive loss of vision of 3 years duration. There was associated history of periorbital pain and discomfort as the proptosis progressed. She gave no medical history of trauma, instrumentation or blunt injury to the face. There were no other contributory complaints.

    Please, consult the images and virtual slides of Case 5 below.

    Ca5-1
    Ca5-2
    Ca5-3
    Ca5-4
    Ca5-5
    Ca5-6
    Ca5-7
    Ca5-8

    DAY 2

    DAFAIP

    Access to the first fifth scanned slides, that will be presented by the FADIAP registrars, is now working.

    Please use the following credentials – these must be typed in (do not copy and paste as it may not work).

    https://anatomicalpathology.ndp.wits.ac.za/

    User name and Password: AAIAP2021 > Open Browse folder > Open AAIAP folder

    > Open the folder as required as detailed in the attached list > Click on the slides

    > Select Web viewer

    -------------------------------

    02 :30 – 02 :37 PM GMT

    *Case 1 (20-1565): Dr DIALLO Aïssatou

    email: daicha91@gmail.com 

    Clinical detail: 49-year-old patient with no particular history who consulted

    for a mass of the upper lip that has been evolving for 7 years.

    Please, consult the virtual slides of Case 1 on https://anatomicalpathology.ndp.wits.ac.za/

    02 :37 – 02 :44 PM GMT

    *Case 2 (21-1478): Dr TOURE Ibrahiman

    email: tibrahiman@gmail.com

    Clinical detail: 70-year-old woman with anterior cervical tumor.

    Please, consult the virtual slides of Case 2 on https://anatomicalpathology.ndp.wits.ac.za/

     

    02 :44 – 02 :51 PM GMT

    *Case 3 (21-2216) : Dr KOUI Beossin Baumaney Sylvanus

    email: baumaney@gmail.com 

    Clinical detail: 03 year old girl with renal hilum tumor.

    Please, consult the virtual slides of Case 3 on https://anatomicalpathology.ndp.wits.ac.za/

     02 :51 – 02 :58 PM GMT

    *Case 4 (P21-129-1611) : Dr OGOUSSAN Coralie

    email: ogoussanc@gmail.com

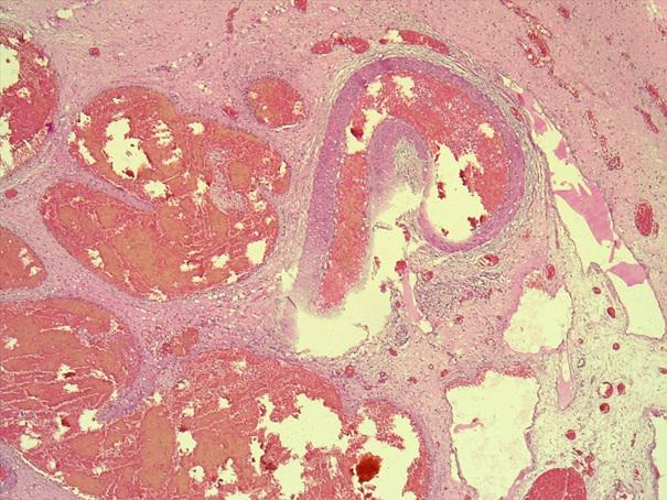
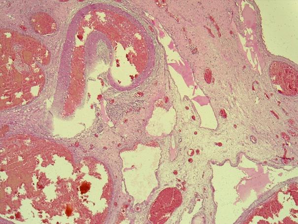
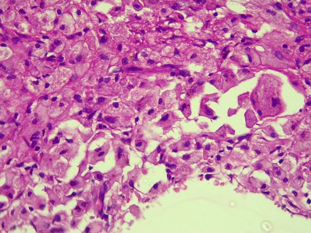
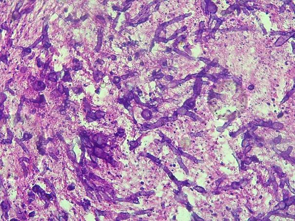
    Clinical detail: 52-year-old woman with an upper left polar kidney tumor.

    Please, consult the virtual slides of Case 4 on https://anatomicalpathology.ndp.wits.ac.za/

    02 :58 – 03 :05 PM GMT

    *Case 5 (21-140) : Pr KAMATE Bakarou

    email: kamatebak@yahoo.fr 

    Clinical detail: 

    Please, consult the virtual slides of Case 5 on https://anatomicalpathology.ndp.wits.ac.za/

    03 :05 – 03 :12 PM GMT

    *Case 6 : Dr KOBENAN Rebecca

    email: kobrebecca@gmail.com

    Clinical detail: 54-year-old man with a brain abscess.

    Please, consult the virtual slides of Case 6 below.

    Ca6-1
    Ca6-2
    Ca6-3
    Ca6-4

    Register now

    Copyright SIPATH 2016

    All rights reserved.

    HEAD OFFICE : Abidjan / Côte d'Ivoire

    Website : www.sipath-ci.org

    Email : info@sipath-ci.org 

     

    Created by R. TIEGNON 

           English.  Français.