‹ › ×
    • facebook
    • twitter
    • google_plus
    • linkedin
    • youtube
    • instagram

     SOCIETE IVOIRIENNE DE PATHOLOGIE

    www.sipath-ci.org

    Accueil
    • Résumés
    • S'inscrire
    • Activités
      • * Programme
      • * Conférenciers
      • * Posters
      • * Séminaire de lames
      • * Hôtels et résidences disponibles
    • Divisions Africaines
    • Comité scientifique
    • Nos partenaires
    • Contact

    SEMINAIRE DE LAMES

    INSTRUCTIONS POUR LE TELECHARGEMENT (L'ENVOI) DES IMAGES HISTOLOGIQUES :

     

    Pour que vos lames soient consultables dans de bonnes conditions, nous vous demandons 

    de respecter obligatoirement des recommandations ci-dessous : 

    - Préciser les renseignements cliniques,

    - Faire des images de bonne qualité (500ppi minimum),

    - Faire des photos aux grossissements x4, x10 et x40,

    - Préciser la ou les techniques de coloration. 

     

    Vous êtes invités à préciser également le nom du présentateur, son affiliation et son adresse mail. 

    NB : Télécharger (Envoyer) vos images et les informations

    sus-mentionnées à l’adresse sipathci@gmail.com

    LISTE DES LAMES, JOUR ET HEURE DE PRESENTATION, AUTEURS

    JOUR 1

    SADIAP

    L'accès aux diapositives numérisées, qui seront présentées par les bureaux d'enregistrement sud-africains, fonctionne maintenant.

    Veuillez utiliser les informations d'identification suivantes - celles-ci doivent être saisies (ne pas copier-coller car cela pourrait ne pas fonctionner).

    https://olympusvm.uct.ac.za/Account/Login 

    nom d'utilisateur: lung2021

    mot de passe : bronchial thermoplasty

    base de données : Conférences > Ouvrez le dossier Pathred 2021 > Cliquez sur: Registrar slide seminar folder > Cliquez sur les cas requis comme détaillé dans la liste ci-jointe.

    ------------------------------

     15 :30 – 15 :37 TU

    * Cas 2: Dr Nelson da Costa (University of Cape Town)

    email: nelson.dacosta@nhls.ac.za 

    Renseignements cliniques: Une fille de 14 ans s'est présentée avec des problèmes visuels et un strabisme. Elle a eu des maux de tête un mois plus tard. L'IRM montrait une masse de citerne suprasellaire.

     

     15 :37 – 15 :44 TU

    * Cas 4: Dr Cawe Cingo (University of Pretoria)

    email: cingocc@gmail.com 

    Renseignements cliniques: Un homme de 48 ans avec une masse testiculaire droite.

     

     15 :44 – 15 :51 TU

    *Cas 5: Dr Julandi Alwan (University of the Western Cape)

    email: julandi.alwan@nhls.ac.za 

    Renseignements cliniques :

    - Un garçon de 5 ans a présenté une tuméfaction du maxillaire droit de plus en plus large, remarquée pour la première fois 5 mois plus tôt.

    - L'examen physique a révélé une asymétrie faciale marquée avec une plénitude ferme sur la joue droite, ainsi qu'un gonflement intrabuccal.

    - La lésion est non sensible et ferme à la palpation.

     

    15 :51 – 15 :58 TU

    * Cas 6: Dr Sharon Harbor (Stellenbosch University)

    email: sharon.harbor@nhls.ac.za 

    Renseignements cliniques: Une femme de 19 ans avec une histoire de deux mois de masse à croissance lente sur le palais dur.

    La masse est située sur la crête alvéolaire antérieure entourant la canine et les deux premières molaires, mesurant 2 x 2 cm.

     

     15 :58 – 16 :05 TU

    * Cas 8: Dr Melius Weideman (University of the Free State)

    email: weidemanmelius@gmail.com 

    Renseignements cliniques: Patiente de 1 jour qui s'est présentée à l'hôpital avec une détresse respiratoire aiguë peu après la naissance

    Décédé malgré les efforts de réanimation

    Cliniquement, le diagnostic différentiel comprenait :

    - Lésion cardiaque congénitale acyanotique

    - Syndrome de détresse respiratoire

    - Hypertension pulmonaire persistante du nouveau-né

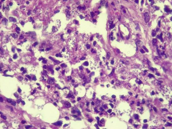
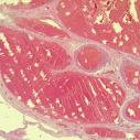
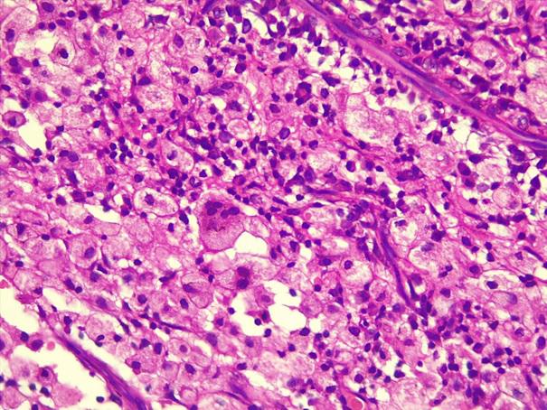
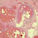
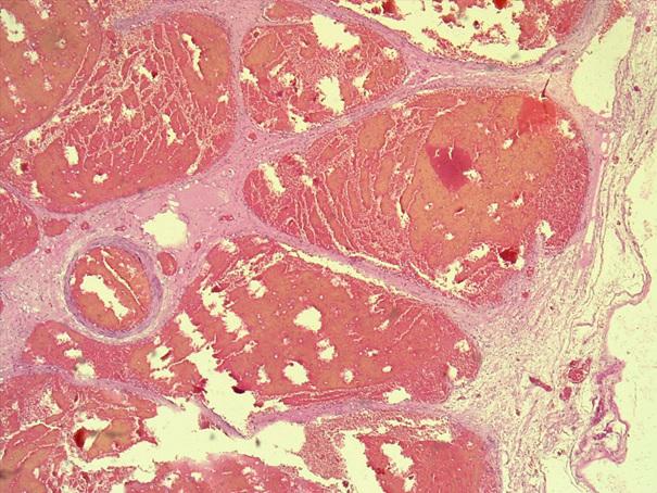
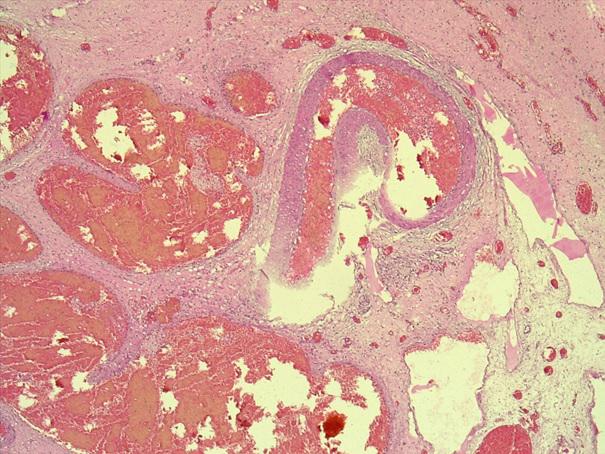
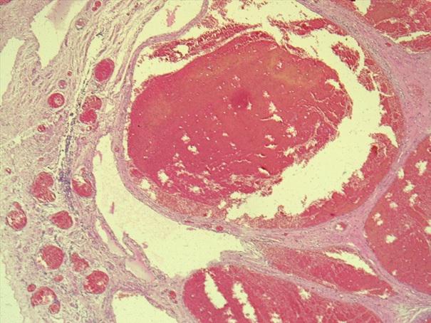
    À l'autopsie, une tumeur cardiaque impliquant le septum et l'apex a été notée mesurant 55x40x35mm

    De multiples petits nodules impliquant la paroi ventriculaire gauche et les muscles papillaires ont également été notés

     

     16 :05 – 16 :12 TU

    *Cas 10: Dr Nathan McGrath (University of the Witwatersrand)

    email: nathmcg@gmail.com 

    Renseignements cliniques: Une femme de 53 ans, P2 G2, a été référée au service de gynécologie du CHBAH avec sept ans d'antécédents de ménorragie, de dysménorrhée et d'anémie ferriprive symptomatique. La patiente avait un utérus hypertrophié et irrégulier et une échographie transvaginale a montré de multiples masses intra-muros et sous-séreuses hypoéchogènes solides, en accord avec un utérus multifibroïde. En raison des symptômes persistants, une hystérectomie abdominale totale élective a été réalisée. 

    WADIAP

     

    16 :12 – 16 :19 TU

    *Cas 1 : Dr Ibrahim Adekanbi/ Dr Harrison

    email: mamak97@yahoo.com

    Renseignements cliniques : Homme, 45 ans, Nodules et plaies de la langue et de la bouche.

    Veuillez consulter ci-dessous les lames virtuelles du Cas 1 

    Ca1-1
    Ca1-2
    Ca1-3
    Ca1-4
    Ca1-5

    16 :19 – 16 :26 TU

    *Cas 2 : Dr Rimamskep Ifusumu/ Prof Modupeola Samaila

    email: mamak97@yahoo.com

    Renseignements cliniques : Femme, 38ans, Masse ovarienne ?

    Veuillez consulter ci-dessous les lames virtuelles du Cas 2

     

    Ca2-1
    Ca2-2
    Ca2-3
    Ca2-4
    Ca2-5
    Ca2-6
    Ca2-7
    Ca2-8
    Ca2-9
    Ca2-10

     

    16 :26 – 16 :33 TU

    *Cas 3 : Pr Modupeola Samaila/ Dr Rimamscep Ifusumu

    email: mamak97@yahoo.com 

    Renseignements cliniques : Femme, 38 ans. Tumeur kystique orbitaire évoluant depuis 2 ans. Le diagnostic clinique est une mucormycose de localisation orbitaire

    Veuillez consulter ci-dessous les lames virtuelles du Cas 3 

    Ca3-1
    Ca3-2
    Ca3-3
    Ca3-4
    Ca3-5
    Ca3-6
    Ca3-7
    Ca3-8
    Ca3-9
    Ca3-10
    Ca3-11

     

    16 :33 – 16 :40 TU

    *Cas 4 : Dr Dauda Suleiman

    email: desuleiman@atbu.edu.ng 

    Renseignements cliniques: 65 ans, masse cervicale

    Veuillez consulter ci-dessous les lames virtuelles du Cas 4  

    Ca4-1
    Ca4-2
    Ca4-3
    Ca4-4
    Ca4-5
    Ca4-6
    Ca4-7
    Ca4-8
    Ca4-9
    Ca4-10

     16 :40 – 16 :47 TU

    *Cas 5 : Dr Garba Dahiru Waziri

    email: wazirdg@gmail.com 

    Renseignements cliniques : une patiente de 45 ans qui s'est présentée à notre hôpital avec des antécédents d'exophtalmie progressive de l'œil droit depuis 8 ans et une perte de vision progressive depuis 3 ans. Il y avait des antécédents associés de douleur et d'inconfort périorbitaire au fur et à mesure que l'exophtalmie progressait. Elle n'a donné aucun antécédent médical de traumatisme, d'instrumentation ou de blessure contondante au visage. Il n'y a eu aucune autre plainte contributive.

    Veuillez consulter ci-dessous les images et lames virtuelles du Cas 5  

    Ca5-1
    Ca5-2
    Ca5-3
    Ca5-4
    Ca5-5
    Ca5-6
    Ca5-7
    Ca5-8

    JOUR 2

    DAFAIP

    L'accès aux cinq premières diapositives numérisées, qui seront présentées par les présentateurs de la DAFAIP, fonctionne maintenant.

    Veuillez utiliser les informations d'identification suivantes - celles-ci doivent être

    saisies (ne pas copier-coller car cela pourrait ne pas fonctionner).

    https://anatomicalpathology.ndp.wits.ac.za/

    Nom d'utilisateur et mot de passe: AAIAP2021 > Ouvrez le dossier Browse

    > Ouvrez le dossier AAIAP > Cliquez sur le dossier tel que requis comme

    détaillé dans la liste ci-jointe > Cliquez sur les lames > Sélectionner Web viewer.

    ---------------------------------------

    14 :30 – 14 :37 TU

    *Cas 1 (20-1565): Dr DIALLO Aïssatou

    email: daicha91@gmail.com 

    Renseignements cliniques :Patient de 49 ans sans antécédents particuliers

    ayant consulté pour masse de la lèvre supérieure évoluant depuis 7 ans.

    Veuillez consulter les lames virtuelles du Cas 1 sur https://anatomicalpathology.ndp.wits.ac.za/

    14 :37 – 14 :44 TU

    *Cas 2 (21-1478): Dr TOURE Ibrahiman

    email: tibrahiman@gmail.com

    Renseignements cliniques : Femme de 70 ans présentant une tumeur cervicale antérieure

    Veuillez consulter les lames virtuelles du Cas 2 sur https://anatomicalpathology.ndp.wits.ac.za/

     

    14 :44 – 14 :51 TU

    *Cas 3 (21-2216) : Dr KOUI Beossin Baumaney Sylvanus

    email: baumaney@gmail.com 

    Renseignements cliniques : Fille de 03 ans présentant une tumeur du hile rénal.

    Veuillez consulter les lames virtuelles du Cas 3 sur https://anatomicalpathology.ndp.wits.ac.za/

     14 :51 – 14 :58 TU

    *Cas 4 (P21-129-1611) : Dr OGOUSSAN Coralie

    email: ogoussanc@gmail.com

    Renseignements cliniques: Femme de 52 ans présentant une tumeur rénale polaire supérieure gauche.

    Veuillez consulter les lames virtuelles du Cas 4 sur https://anatomicalpathology.ndp.wits.ac.za/

    14 :58 – 15 :05 TU

    *Cas 5 (21-140) : Pr KAMATE Bakarou

    email: kamatebak@yahoo.fr 

    Renseignements cliniques :

    Veuillez consulter les lames virtuelles du Cas 5 sur https://anatomicalpathology.ndp.wits.ac.za/

    15 :05 – 15 :12 TU

    *Cas 6 : Dr KOBENAN Rebecca

    email: kobrebecca@gmail.com

    Renseignements cliniques : Homme de 54 ans présentant un abcès cérébral.

    Veuillez consulter ci-dessous lames virtuelles du Cas 6. 

    Ca6-1
    Ca6-2
    Ca6-3
    Ca6-4

    S'inscrire maintenant

    Copyright SIPATH 2016

    Tous droits réservés.

    SIEGE SOCIAL : Abidjan / Côte d'Ivoire

    Site web : www.sipath-ci.org

    Email : info@sipath-ci.org 

     

    Site réalisé par R. TIEGNON 

             Français.  English.